备注
前往结尾 下载完整示例代码。或在您的浏览器中通过 Binder 运行此示例。
排序过滤器#
排序滤波器是非线性滤波器,使用局部灰度级排序来计算滤波值。这一组滤波器共享一个共同的基础:局部灰度级直方图是在像素的邻域上计算的(由二维结构元素定义)。如果滤波值取为直方图的中间值,我们得到经典的均值滤波器。
秩滤波器可用于多种目的,例如:
图像质量增强,例如,图像平滑、锐化
图像预处理,例如,降噪、对比度增强
特征提取,例如,边界检测,孤立点检测
图像后处理,例如,小物体移除、物体分组、轮廓平滑
一些著名的滤波器(例如,形态学膨胀和形态学腐蚀)是排序滤波器的特定情况 [1]。
在这个示例中,我们将看到如何使用 skimage 中提供的线性和非线性滤波器来过滤灰度图像。我们使用 skimage.data 中的 camera 图像进行所有比较。
import numpy as np
import matplotlib.pyplot as plt
from skimage.util import img_as_ubyte
from skimage import data
from skimage.exposure import histogram
noisy_image = img_as_ubyte(data.camera())
hist, hist_centers = histogram(noisy_image)
fig, ax = plt.subplots(ncols=2, figsize=(10, 5))
ax[0].imshow(noisy_image, cmap=plt.cm.gray)
ax[0].set_axis_off()
ax[1].plot(hist_centers, hist, lw=2)
ax[1].set_title('Gray-level histogram')
fig.tight_layout()

噪声去除#
对图像添加了一些噪声:1% 的像素被随机设置为 255,1% 被随机设置为 0。应用 中值 滤波器以去除噪声。
from skimage.filters.rank import median
from skimage.morphology import disk, ball
rng = np.random.default_rng()
noise = rng.random(noisy_image.shape)
noisy_image = img_as_ubyte(data.camera())
noisy_image[noise > 0.99] = 255
noisy_image[noise < 0.01] = 0
fig, axes = plt.subplots(2, 2, figsize=(10, 10), sharex=True, sharey=True)
ax = axes.ravel()
ax[0].imshow(noisy_image, vmin=0, vmax=255, cmap=plt.cm.gray)
ax[0].set_title('Noisy image')
ax[1].imshow(median(noisy_image, disk(1)), vmin=0, vmax=255, cmap=plt.cm.gray)
ax[1].set_title('Median $r=1$')
ax[2].imshow(median(noisy_image, disk(5)), vmin=0, vmax=255, cmap=plt.cm.gray)
ax[2].set_title('Median $r=5$')
ax[3].imshow(median(noisy_image, disk(20)), vmin=0, vmax=255, cmap=plt.cm.gray)
ax[3].set_title('Median $r=20$')
for a in ax:
a.set_axis_off()
fig.tight_layout()

添加的噪声被有效地去除,因为图像的默认值很小(1像素宽),一个小滤波半径就足够了。随着半径的增加,更大尺寸的物体也会被滤波,例如相机三脚架。中值滤波器常用于噪声去除,因为它能保留边界。例如,考虑噪声仅位于整个图像中的几个像素上,就像盐椒噪声 [2] 的情况:中值滤波器将忽略这些噪声像素,因为它们会表现为异常值;因此,它不会显著改变一组局部像素的中值,这与移动平均滤波器的效果相反。
图像平滑#
下面的示例展示了局部 均值 滤波器如何平滑相机图像。
from skimage.filters.rank import mean
loc_mean = mean(noisy_image, disk(10))
fig, ax = plt.subplots(ncols=2, figsize=(10, 5), sharex=True, sharey=True)
ax[0].imshow(noisy_image, vmin=0, vmax=255, cmap=plt.cm.gray)
ax[0].set_title('Original')
ax[1].imshow(loc_mean, vmin=0, vmax=255, cmap=plt.cm.gray)
ax[1].set_title('Local mean $r=10$')
for a in ax:
a.set_axis_off()
fig.tight_layout()

人们可能对在保留重要边界的同时平滑图像感兴趣(中值滤波器已经实现了这一点)。在这里,我们使用 双边 滤波器,该滤波器将局部邻域限制为灰度级别与中心像素相似的像素。
备注
对于彩色图像,skimage.restoration.denoise_bilateral() 提供了不同的实现。
from skimage.filters.rank import mean_bilateral
noisy_image = img_as_ubyte(data.camera())
bilat = mean_bilateral(noisy_image.astype(np.uint16), disk(20), s0=10, s1=10)
fig, axes = plt.subplots(nrows=2, ncols=2, figsize=(10, 10), sharex='row', sharey='row')
ax = axes.ravel()
ax[0].imshow(noisy_image, cmap=plt.cm.gray)
ax[0].set_title('Original')
ax[1].imshow(bilat, cmap=plt.cm.gray)
ax[1].set_title('Bilateral mean')
ax[2].imshow(noisy_image[100:250, 350:450], cmap=plt.cm.gray)
ax[3].imshow(bilat[100:250, 350:450], cmap=plt.cm.gray)
for a in ax:
a.set_axis_off()
fig.tight_layout()

可以看到图像的大片连续部分(例如天空)被平滑处理,而其他细节则被保留。
对比度增强#
我们在这里比较全局直方图均衡化如何局部应用。
均衡后的图像 [3] 对于每个像素邻域具有大致线性的累积分布函数。直方图均衡化的局部版本 [4] 强调了每个局部灰度级的变化。
https://zh.wikipedia.org/wiki/%E7%9B%B4%E6%96%B9%E5%9B%BE%E5%9D%87%E8%A1%A1%E5%8C%96
https://en.wikipedia.org/wiki/自适应直方图均衡化
from skimage import exposure
from skimage.filters import rank
noisy_image = img_as_ubyte(data.camera())
# equalize globally and locally
glob = exposure.equalize_hist(noisy_image) * 255
loc = rank.equalize(noisy_image, disk(20))
# extract histogram for each image
hist = np.histogram(noisy_image, bins=np.arange(0, 256))
glob_hist = np.histogram(glob, bins=np.arange(0, 256))
loc_hist = np.histogram(loc, bins=np.arange(0, 256))
fig, axes = plt.subplots(nrows=3, ncols=2, figsize=(12, 12))
ax = axes.ravel()
ax[0].imshow(noisy_image, cmap=plt.cm.gray)
ax[0].set_axis_off()
ax[1].plot(hist[1][:-1], hist[0], lw=2)
ax[1].set_title('Histogram of gray values')
ax[2].imshow(glob, cmap=plt.cm.gray)
ax[2].set_axis_off()
ax[3].plot(glob_hist[1][:-1], glob_hist[0], lw=2)
ax[3].set_title('Histogram of gray values')
ax[4].imshow(loc, cmap=plt.cm.gray)
ax[4].set_axis_off()
ax[5].plot(loc_hist[1][:-1], loc_hist[0], lw=2)
ax[5].set_title('Histogram of gray values')
fig.tight_layout()

另一种最大化图像使用的灰度级别的方法是应用局部自动级别调整,即像素的灰度值在局部最小值和局部最大值之间按比例重新映射。
以下示例展示了本地自动级别如何增强摄像师画面。
from skimage.filters.rank import autolevel
noisy_image = img_as_ubyte(data.camera())
auto = autolevel(noisy_image.astype(np.uint16), disk(20))
fig, ax = plt.subplots(ncols=2, figsize=(10, 5), sharex=True, sharey=True)
ax[0].imshow(noisy_image, cmap=plt.cm.gray)
ax[0].set_title('Original')
ax[1].imshow(auto, cmap=plt.cm.gray)
ax[1].set_title('Local autolevel')
for a in ax:
a.set_axis_off()
fig.tight_layout()

此过滤器对局部异常值非常敏感。可以通过使用百分位版本的自动级别过滤器来缓解这一点,该过滤器使用给定的百分位数(一个较低,一个较高)代替局部最小值和最大值。下面的示例说明了百分位参数如何影响局部自动级别结果。
from skimage.filters.rank import autolevel_percentile
image = data.camera()
footprint = disk(20)
loc_autolevel = autolevel(image, footprint=footprint)
loc_perc_autolevel0 = autolevel_percentile(image, footprint=footprint, p0=0.01, p1=0.99)
loc_perc_autolevel1 = autolevel_percentile(image, footprint=footprint, p0=0.05, p1=0.95)
loc_perc_autolevel2 = autolevel_percentile(image, footprint=footprint, p0=0.1, p1=0.9)
loc_perc_autolevel3 = autolevel_percentile(image, footprint=footprint, p0=0.15, p1=0.85)
fig, axes = plt.subplots(nrows=3, ncols=2, figsize=(10, 10), sharex=True, sharey=True)
ax = axes.ravel()
title_list = [
'Original',
'auto_level',
'auto-level 1%',
'auto-level 5%',
'auto-level 10%',
'auto-level 15%',
]
image_list = [
image,
loc_autolevel,
loc_perc_autolevel0,
loc_perc_autolevel1,
loc_perc_autolevel2,
loc_perc_autolevel3,
]
for i in range(0, len(image_list)):
ax[i].imshow(image_list[i], cmap=plt.cm.gray, vmin=0, vmax=255)
ax[i].set_title(title_list[i])
ax[i].set_axis_off()
fig.tight_layout()

形态对比度增强滤波器通过局部最大值替换中心像素,如果原始像素值最接近局部最大值,否则通过局部最小值替换。
from skimage.filters.rank import enhance_contrast
noisy_image = img_as_ubyte(data.camera())
enh = enhance_contrast(noisy_image, disk(5))
fig, axes = plt.subplots(nrows=2, ncols=2, figsize=(10, 10), sharex='row', sharey='row')
ax = axes.ravel()
ax[0].imshow(noisy_image, cmap=plt.cm.gray)
ax[0].set_title('Original')
ax[1].imshow(enh, cmap=plt.cm.gray)
ax[1].set_title('Local morphological contrast enhancement')
ax[2].imshow(noisy_image[100:250, 350:450], cmap=plt.cm.gray)
ax[3].imshow(enh[100:250, 350:450], cmap=plt.cm.gray)
for a in ax:
a.set_axis_off()
fig.tight_layout()

局部形态对比度增强的分位数版本使用分位数 p0 和 p1 而不是局部最小值和最大值。
from skimage.filters.rank import enhance_contrast_percentile
noisy_image = img_as_ubyte(data.camera())
penh = enhance_contrast_percentile(noisy_image, disk(5), p0=0.1, p1=0.9)
fig, axes = plt.subplots(nrows=2, ncols=2, figsize=(10, 10), sharex='row', sharey='row')
ax = axes.ravel()
ax[0].imshow(noisy_image, cmap=plt.cm.gray)
ax[0].set_title('Original')
ax[1].imshow(penh, cmap=plt.cm.gray)
ax[1].set_title('Local percentile morphological\n contrast enhancement')
ax[2].imshow(noisy_image[100:250, 350:450], cmap=plt.cm.gray)
ax[3].imshow(penh[100:250, 350:450], cmap=plt.cm.gray)
for a in ax:
a.set_axis_off()
fig.tight_layout()

图像阈值#
Otsu 阈值法 [5] 可以通过使用局部灰度分布进行局部应用。在下面的示例中,对于每个像素,通过最大化由结构元素定义的局部邻域中两类像素之间的方差来确定一个“最优”阈值。
这些算法可以用于2D和3D图像。
该示例将局部阈值处理与全局阈值处理进行了比较,后者由 skimage.filters.threshold_otsu() 提供。请注意,前者比后者慢得多。
from skimage.filters.rank import otsu
from skimage.filters import threshold_otsu
from skimage import exposure
p8 = data.page()
radius = 10
footprint = disk(radius)
# t_loc_otsu is an image
t_loc_otsu = otsu(p8, footprint)
loc_otsu = p8 >= t_loc_otsu
# t_glob_otsu is a scalar
t_glob_otsu = threshold_otsu(p8)
glob_otsu = p8 >= t_glob_otsu
fig, axes = plt.subplots(nrows=2, ncols=2, figsize=(12, 12), sharex=True, sharey=True)
ax = axes.ravel()
fig.colorbar(ax[0].imshow(p8, cmap=plt.cm.gray), ax=ax[0])
ax[0].set_title('Original')
fig.colorbar(ax[1].imshow(t_loc_otsu, cmap=plt.cm.gray), ax=ax[1])
ax[1].set_title(f'Local Otsu ($r={radius}$)')
ax[2].imshow(p8 >= t_loc_otsu, cmap=plt.cm.gray)
ax[2].set_title('Original >= local Otsu')
ax[3].imshow(glob_otsu, cmap=plt.cm.gray)
ax[3].set_title(f'Global Otsu ($t={t_glob_otsu}$)')
for a in ax:
a.set_axis_off()
fig.tight_layout()

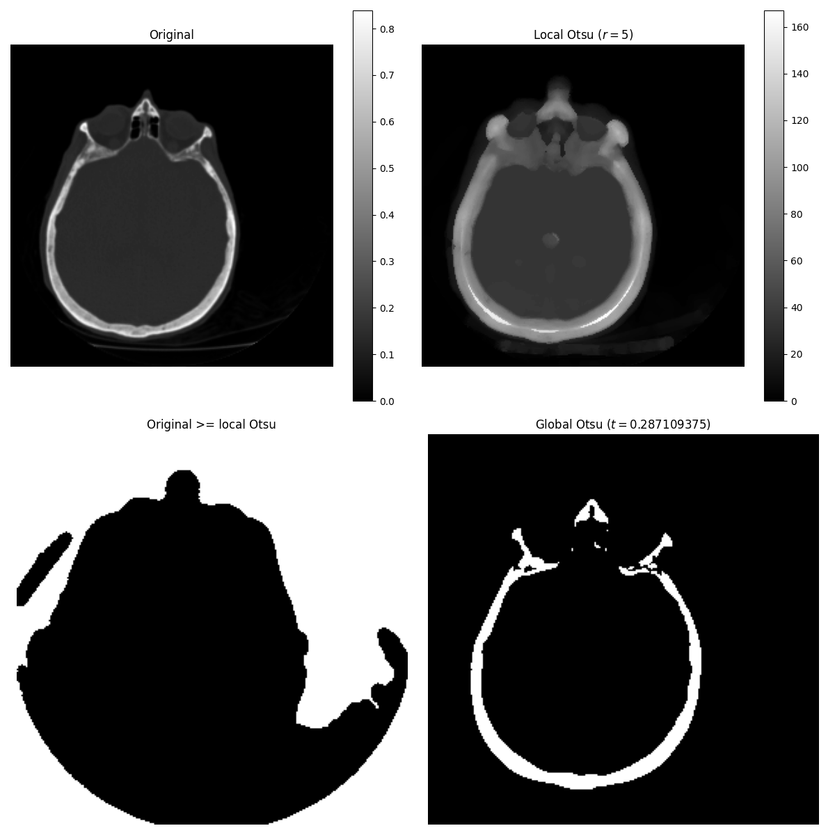
下面的示例执行相同的比较,这次使用的是3D图像。
brain = exposure.rescale_intensity(data.brain().astype(float))
radius = 5
neighborhood = ball(radius)
# t_loc_otsu is an image
t_loc_otsu = rank.otsu(brain, neighborhood)
loc_otsu = brain >= t_loc_otsu
# t_glob_otsu is a scalar
t_glob_otsu = threshold_otsu(brain)
glob_otsu = brain >= t_glob_otsu
fig, axes = plt.subplots(nrows=2, ncols=2, figsize=(12, 12), sharex=True, sharey=True)
ax = axes.ravel()
slice_index = 3
fig.colorbar(ax[0].imshow(brain[slice_index], cmap=plt.cm.gray), ax=ax[0])
ax[0].set_title('Original')
fig.colorbar(ax[1].imshow(t_loc_otsu[slice_index], cmap=plt.cm.gray), ax=ax[1])
ax[1].set_title(f'Local Otsu ($r={radius}$)')
ax[2].imshow(brain[slice_index] >= t_loc_otsu[slice_index], cmap=plt.cm.gray)
ax[2].set_title('Original >= local Otsu')
ax[3].imshow(glob_otsu[slice_index], cmap=plt.cm.gray)
ax[3].set_title(f'Global Otsu ($t={t_glob_otsu}$)')
for a in ax:
a.set_axis_off()
fig.tight_layout()

/Users/cw/baidu/code/fin_tool/github/scikit-image/venv/lib/python3.11/site-packages/skimage/filters/rank/generic.py:353: UserWarning:
Possible precision loss converting image of type float64 to uint8 as required by rank filters. Convert manually using skimage.util.img_as_ubyte to silence this warning.
以下示例展示了局部Otsu阈值处理如何处理应用于合成图像的全局级别偏移。
n = 100
theta = np.linspace(0, 10 * np.pi, n)
x = np.sin(theta)
m = (np.tile(x, (n, 1)) * np.linspace(0.1, 1, n) * 128 + 128).astype(np.uint8)
radius = 10
t = rank.otsu(m, disk(radius))
fig, ax = plt.subplots(ncols=2, figsize=(10, 5), sharex=True, sharey=True)
ax[0].imshow(m, cmap=plt.cm.gray)
ax[0].set_title('Original')
ax[1].imshow(m >= t, cmap=plt.cm.gray)
ax[1].set_title(f'Local Otsu ($r={radius}$)')
for a in ax:
a.set_axis_off()
fig.tight_layout()

图像形态学#
局部最大值和局部最小值是灰度形态学的基础运算符。
以下是经典的形态学灰度滤波器示例:开运算、闭运算和形态学梯度。
from skimage.filters.rank import maximum, minimum, gradient
noisy_image = img_as_ubyte(data.camera())
opening = maximum(minimum(noisy_image, disk(5)), disk(5))
closing = minimum(maximum(noisy_image, disk(5)), disk(5))
grad = gradient(noisy_image, disk(5))
# display results
fig, axes = plt.subplots(nrows=2, ncols=2, figsize=(10, 10), sharex=True, sharey=True)
ax = axes.ravel()
ax[0].imshow(noisy_image, cmap=plt.cm.gray)
ax[0].set_title('Original')
ax[1].imshow(closing, cmap=plt.cm.gray)
ax[1].set_title('Gray-level closing')
ax[2].imshow(opening, cmap=plt.cm.gray)
ax[2].set_title('Gray-level opening')
ax[3].imshow(grad, cmap=plt.cm.gray)
ax[3].set_title('Morphological gradient')
for a in ax:
a.set_axis_off()
fig.tight_layout()

特征提取#
局部直方图可以用来计算局部熵,这与局部图像复杂度有关。熵是使用以2为底的对数计算的,即,滤波器返回编码局部灰度分布所需的最小比特数。
skimage.filters.rank.entropy() 返回给定结构元素上的局部熵。以下示例将此滤镜应用于8位和16位图像。
备注
为了更好地利用可用的图像位,该函数对8位图像返回10倍的熵,对16位图像返回1000倍的熵。
from skimage import data
from skimage.filters.rank import entropy
from skimage.morphology import disk
import numpy as np
import matplotlib.pyplot as plt
image = data.camera()
fig, ax = plt.subplots(ncols=2, figsize=(12, 6), sharex=True, sharey=True)
fig.colorbar(ax[0].imshow(image, cmap=plt.cm.gray), ax=ax[0])
ax[0].set_title('Image')
fig.colorbar(ax[1].imshow(entropy(image, disk(5)), cmap=plt.cm.gray), ax=ax[1])
ax[1].set_title('Entropy')
for a in ax:
a.set_axis_off()
fig.tight_layout()

实现#
skimage.filters.rank 滤波器的核心部分是基于一个滑动窗口,该窗口更新局部灰度级直方图。这种方法将算法复杂度限制为 O(n),其中 n 是图像像素的数量。复杂度也相对于结构元素的大小受到限制。
在下文中,我们比较了 skimage 中不同实现的性能。
from time import time
from scipy.ndimage import percentile_filter
from skimage.morphology import dilation
from skimage.filters.rank import median, maximum
def exec_and_timeit(func):
"""Decorator that returns both function results and execution time."""
def wrapper(*arg):
t1 = time()
res = func(*arg)
t2 = time()
ms = (t2 - t1) * 1000.0
return (res, ms)
return wrapper
@exec_and_timeit
def cr_med(image, footprint):
return median(image=image, footprint=footprint)
@exec_and_timeit
def cr_max(image, footprint):
return maximum(image=image, footprint=footprint)
@exec_and_timeit
def cm_dil(image, footprint):
return dilation(image=image, footprint=footprint)
@exec_and_timeit
def ndi_med(image, n):
return percentile_filter(image, 50, size=n * 2 - 1)
比较
关于增加结构元素大小:
a = data.camera()
rec = []
e_range = range(1, 20, 2)
for r in e_range:
elem = disk(r + 1)
rc, ms_rc = cr_max(a, elem)
rcm, ms_rcm = cm_dil(a, elem)
rec.append((ms_rc, ms_rcm))
rec = np.asarray(rec)
fig, ax = plt.subplots(figsize=(10, 10), sharey=True)
ax.set_title('Performance with respect to element size')
ax.set_ylabel('Time (ms)')
ax.set_xlabel('Element radius')
ax.plot(e_range, rec)
ax.legend(['filters.rank.maximum', 'morphology.dilate'])
fig.tight_layout()

并增加图像大小:
r = 9
elem = disk(r + 1)
rec = []
s_range = range(100, 1000, 100)
for s in s_range:
a = (rng.random((s, s)) * 256).astype(np.uint8)
(rc, ms_rc) = cr_max(a, elem)
(rcm, ms_rcm) = cm_dil(a, elem)
rec.append((ms_rc, ms_rcm))
rec = np.asarray(rec)
fig, ax = plt.subplots()
ax.set_title('Performance with respect to image size')
ax.set_ylabel('Time (ms)')
ax.set_xlabel('Image size')
ax.plot(s_range, rec)
ax.legend(['filters.rank.maximum', 'morphology.dilate'])
fig.tight_layout()

比较:
关于增加结构元素大小:
a = data.camera()
rec = []
e_range = range(2, 30, 4)
for r in e_range:
elem = disk(r + 1)
rc, ms_rc = cr_med(a, elem)
rndi, ms_ndi = ndi_med(a, r)
rec.append((ms_rc, ms_ndi))
rec = np.asarray(rec)
fig, ax = plt.subplots()
ax.set_title('Performance with respect to element size')
ax.plot(e_range, rec)
ax.legend(['filters.rank.median', 'scipy.ndimage.percentile'])
ax.set_ylabel('Time (ms)')
ax.set_xlabel('Element radius')

Text(0.5, 23.52222222222222, 'Element radius')
两种方法结果的比较:
fig, ax = plt.subplots(ncols=2, figsize=(10, 5), sharex=True, sharey=True)
ax[0].set_title('filters.rank.median')
ax[0].imshow(rc, cmap=plt.cm.gray)
ax[1].set_title('scipy.ndimage.percentile')
ax[1].imshow(rndi, cmap=plt.cm.gray)
for a in ax:
a.set_axis_off()
fig.tight_layout()

关于增加图像大小:
r = 9
elem = disk(r + 1)
rec = []
s_range = [100, 200, 500, 1000]
for s in s_range:
a = (rng.random((s, s)) * 256).astype(np.uint8)
(rc, ms_rc) = cr_med(a, elem)
rndi, ms_ndi = ndi_med(a, r)
rec.append((ms_rc, ms_ndi))
rec = np.asarray(rec)
fig, ax = plt.subplots()
ax.set_title('Performance with respect to image size')
ax.plot(s_range, rec)
ax.legend(['filters.rank.median', 'scipy.ndimage.percentile'])
ax.set_ylabel('Time (ms)')
ax.set_xlabel('Image size')
fig.tight_layout()
plt.show()

脚本总运行时间: (0 分钟 26.202 秒)